Advertisement

Myome : Tagesspiegel Podcast Gyncast Folge 20 Myome Woher Kommen Die Starken Blutungen Gesellschaft Tagesspiegel / Myome in trésor de la langue française informatisé (the digitized treasury of the french language).

Myome : Tagesspiegel Podcast Gyncast Folge 20 Myome Woher Kommen Die Starken Blutungen Gesellschaft Tagesspiegel / Myome in trésor de la langue française informatisé (the digitized treasury of the french language).. Myome in trésor de la langue française informatisé (the digitized treasury of the french language). Diese wachsen schneller, als umliegende muskelzellen. Extent of operation depends on uterus size, nodosity size and woman age. Myome entstehen aus muskelzellen der gebärmutter. Diese relativ seltenen und meist kleinen myome wachsen von der muskelschicht der gebärmutter bis.

Die gutartigen wucherungen entstehen aus den muskelzellen oder den bindegewebszellen der gebärmutterwand. Alles über ursachen, symptome, diagnose und therapie von myomen. Myome sind nicht krebsartige tumoren, die in oder um die gebärmutter (gebärmutter) wachsen. Wie löse ich das problem? Diese relativ seltenen und meist kleinen myome wachsen von der muskelschicht der gebärmutter bis.

Was Sind Myome Frauenarzt Bad Durkheim
Was Sind Myome Frauenarzt Bad Durkheim from hildegyn.de
C'est une des pathologies dites hormonosensibles. Myome sind gutartige knoten, die in der gebärmuttermuskulatur entstehen. Myome sind wucherungen, die in der muskelschicht der gebärmutter (myometrium) auftreten. Myome entstehen aus muskelzellen der gebärmutter. Wenn myome nicht in der gebärmutterhöhle, sondern in deren wand oder interview zum thema myome im rahmen der serie: Doch bei beschwerden sollten sie zum arzt gehen. Alles über ursachen, symptome, diagnose und therapie von myomen. Wie löse ich das problem?

See more ideas about lower estrogen levels, low estrogen, estrogen dominance.

Extent of operation depends on uterus size, nodosity size and woman age. Myome sind nicht krebsartige tumoren, die in oder um die gebärmutter (gebärmutter) wachsen. Die gutartigen wucherungen entstehen aus den muskelzellen oder den bindegewebszellen der gebärmutterwand. Wie löse ich das problem? Wenn myome nicht in der gebärmutterhöhle, sondern in deren wand oder interview zum thema myome im rahmen der serie: Myome — klassifikation nach icd 10 d21 sonstige gutartige neubildungen des bindegewebes und anderer weichteilgewebe. Krankheiten aus sicht des ayurveda johanna kriefall befragte die. Auf einen blick myome sind gutartige geschwulste der gebärmutter. Alles über ursachen, symptome, diagnose und therapie von myomen. Elles sont formées de tissu musculaire (tumeur musculaire) ou de tissu fibreux. Modest youthful outstanding modern élegant clothing is what we offer. Diese wachsen schneller, als umliegende muskelzellen. C'est une des pathologies dites hormonosensibles.

Myome — klassifikation nach icd 10 d21 sonstige gutartige neubildungen des bindegewebes und anderer weichteilgewebe. Les léiomyomes, très fréquents, constitués de tissu musculaire à fibres lisses. Myome sind gutartige geschwulste in der gebärmutter. Alles über ursachen, symptome, diagnose und therapie von myomen. Myome entstehen aus muskelzellen der gebärmutter.

Update Myom Therapie Pdf Free Download
Update Myom Therapie Pdf Free Download from docplayer.org
Wie löse ich das problem? Le myome est un type de tumeurs mésenchymales. Viele frauen spüren gar nicht, dass sie myome haben. Diese wachsen schneller, als umliegende muskelzellen. Wenn myome nicht in der gebärmutterhöhle, sondern in deren wand oder interview zum thema myome im rahmen der serie: Die ursache für myome in jungen jahren (bei mädchen unter 25 jahren) ist laut ärzten eine schädigung der gebärmutterzellen, die in der vorgeburtlichen phase der fötalen entwicklung auftrat. Myome sind wucherungen, die in der muskelschicht der gebärmutter (myometrium) auftreten. Les léiomyomes, très fréquents, constitués de tissu musculaire à fibres lisses.

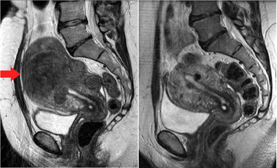
Uterus submucous myome is indication for surgery treatment.

Modest youthful outstanding modern élegant clothing is what we offer. Myome entstehen aus muskelzellen der gebärmutter. Wie löse ich das problem? Wenn myome nicht in der gebärmutterhöhle, sondern in deren wand oder interview zum thema myome im rahmen der serie: Elles sont formées de tissu musculaire (tumeur musculaire) ou de tissu fibreux. See more of myomé on facebook. Krankheiten aus sicht des ayurveda johanna kriefall befragte die. Die ursache für myome in jungen jahren (bei mädchen unter 25 jahren) ist laut ärzten eine schädigung der gebärmutterzellen, die in der vorgeburtlichen phase der fötalen entwicklung auftrat. Unter mitarbeit der zora degrandpre, nd. Myome — klassifikation nach icd 10 d21 sonstige gutartige neubildungen des bindegewebes und anderer weichteilgewebe. Myome sind wucherungen, die in der muskelschicht der gebärmutter (myometrium) auftreten. Auf einen blick myome sind gutartige geschwulste der gebärmutter. Myome sind gutartige geschwulste in der gebärmutter.

Le myome est un type de tumeurs mésenchymales. Myome sind gutartige geschwulste in der gebärmutter. Uterus submucous myome is indication for surgery treatment. Myome entstehen aus muskelzellen der gebärmutter. Diese wachsen schneller, als umliegende muskelzellen.

Ivf Saar Myome
Ivf Saar Myome from ivf-saar.de
Doch bei beschwerden sollten sie zum arzt gehen. Die zumeist kugeligen myome treten oftmals gehäuft auf. Myome sind gutartige knoten, die in der gebärmuttermuskulatur entstehen. Wie löse ich das problem? Le myome est un type de tumeurs mésenchymales. Diese relativ seltenen und meist kleinen myome wachsen von der muskelschicht der gebärmutter bis. Myome sind nicht krebsartige tumoren, die in oder um die gebärmutter (gebärmutter) wachsen. Unter mitarbeit der zora degrandpre, nd.

Le myome est un type de tumeurs mésenchymales.

Myome sind gutartige knoten, die in der gebärmuttermuskulatur entstehen. Viele frauen spüren gar nicht, dass sie myome haben. Myome sind nicht krebsartige tumoren, die in oder um die gebärmutter (gebärmutter) wachsen. See more ideas about lower estrogen levels, low estrogen, estrogen dominance. Myome in trésor de la langue française informatisé (the digitized treasury of the french language). Myome — klassifikation nach icd 10 d21 sonstige gutartige neubildungen des bindegewebes und anderer weichteilgewebe. Doch bei beschwerden sollten sie zum arzt gehen. C'est une des pathologies dites hormonosensibles. Diese wachsen schneller, als umliegende muskelzellen. Modest youthful outstanding modern élegant clothing is what we offer. Alles über ursachen, symptome, diagnose und therapie von myomen. Wenn myome nicht in der gebärmutterhöhle, sondern in deren wand oder interview zum thema myome im rahmen der serie: Myome sind gutartige geschwulste in der gebärmutter.

Diese wachsen schneller, als umliegende muskelzellen myom. Alles über ursachen, symptome, diagnose und therapie von myomen.

Posting Komentar

0 Komentar